Prix radio panoramique dentaire Maroc : indications et devis

root canal treatment
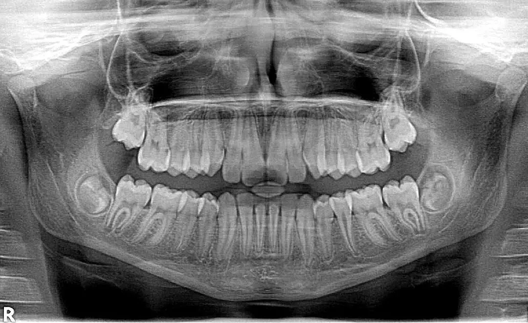
Prix radio panoramique dentaire Maroc – imagerie et devis à Tanger

Le prix radio panoramique dentaire Maroc est une question fréquente pour les patients qui doivent réaliser un bilan complet avant un traitement dentaire ou orthodontique. Cet examen rapide et indolore offre une vue globale des dents, de l’os maxillaire et des articulations, facilitant un diagnostic précis.

Qu’est-ce qu’une radio panoramique ?

Aussi appelée orthopantomogramme (OPG), elle consiste à réaliser une radiographie en arc qui englobe toutes les dents et les structures avoisinantes. C’est un outil indispensable avant un implant dentaire, une extraction de dents de sagesse ou un traitement orthodontique. Pour plus de détails locaux, voyez Radiologie dentaire à Tanger.

Prix radio panoramique dentaire Maroc : ce qui influence le coût

  • Type d’équipement : machines numériques de dernière génération offrent moins d’irradiation et une meilleure qualité d’image.
  • Zone géographique : les tarifs peuvent varier entre Casablanca, Marrakech et Tanger.
  • Contexte : intégrée dans un plan global de soins (implant, orthodontie, prothèse), la radio peut être incluse au devis global.
  • Prestations complémentaires : cliché rétroalvéolaire, scanner 3D (cone beam) si nécessaire.

Quand réaliser cet examen ?

L’orthopantomogramme est prescrit avant la pose d’un implant, dans l’étude des dents de sagesse, pour détecter des kystes ou lésions, ou encore pour planifier un traitement orthodontique. Pour un suivi préventif, il peut être recommandé tous les 3 à 5 ans.

Sécurité et alternatives en imagerie

La dose de rayonnement est faible et maîtrisée, adaptée aux recommandations internationales. Les alternatives incluent le scanner cone beam pour un examen en 3D plus détaillé. Consultez aussi les recommandations de l’ Organisation mondiale de la Santé et du Ministère de la Santé du Maroc.

En résumé, le prix radio panoramique dentaire Maroc varie selon l’équipement, le lieu et le contexte de soin. Une consultation permet d’intégrer cet examen dans un devis global, avec transparence et sécurité.

Planifier une radio panoramique à Tanger

Prenez rendez-vous pour un examen complet avec imagerie panoramique, intégré à votre plan de soins.

Réserver un rendez-vous 📞 Appeler : 06 60 02 22 63 📍 Adresse : Avenue Mohammed VI, Résidence Borj Khalij Tanger 3, Étage 5, App n°197, Tanger

Laisser un commentaire

Votre adresse e-mail ne sera pas publiée. Les champs obligatoires sont indiqués avec *